What Causes Bone Marrow Cancer In Cats : Cat Lymphoma What You Need To Know About This Feline Cancercherished Companions Animal Clinic : Multiple myeloma in cats multiple myeloma is an uncommon cancer that is derived from a clonal population of cancerous (malignant) plasma cells in the bone marrow.
Get link
Facebook
X
Pinterest
Email
Other Apps
What Causes Bone Marrow Cancer In Cats : Cat Lymphoma What You Need To Know About This Feline Cancercherished Companions Animal Clinic : Multiple myeloma in cats multiple myeloma is an uncommon cancer that is derived from a clonal population of cancerous (malignant) plasma cells in the bone marrow.. For this reason, cats that suffer from anemia caused by lead poisoning or feline leukemia are in a very dangerous situation. If cancer is suspected, your doctor will also need to take bone marrow biopsies (samples) for a microscopic (cytologic) examination of the cells. Lymphoma is found to be responsible for around 90 percent of blood cancers and account for about 33 percent of all tumors in cats. Symptoms of multiple myeloma in cats the major symptoms associated with multiple myeloma are caused by the spread of cancer cells, hyperviscosity syndrome (thick blood), and the underproduction of normal cells within the bone marrow (see explanations above). Bone or any other type of cancer is an aberrant bunch of cells that do not follow the rules of the body's programming.
In some cats, bone marrow sampling may need to be repeated in order to see if the bone marrow is responding normally or not. Toxic causes of anemia and {blank} infectious causes of anemia). These tumors are classified as either primary (i.e., arise directly in bone) or secondary (i.e., spread from an adjacent site, such as multiple myeloma of the bone marrow or metastasize from a distant site, such as transitional cell carcinoma of the urinary bladder). It is a very aggressive tumor that causes lysis (disintegration of the bone), bone production, or both. Lymphoma is found to be responsible for around 90 percent of blood cancers and account for about 33 percent of all tumors in cats.
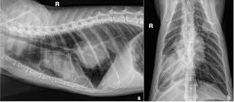
Bone Marrow Cancer Myeloma In Dogs Petmd from www.petmd.com They can cause much more pronounced gastrointestinal distress and affect the bone marrow and immune system putting patients at risk for dangerous infections. The common causes of bone marrow cancer in cats include: Bone tumors can involve either the appendicular (limbs) or axial (spine, ribs, pelvis, scapula, and skull) skeleton. In some cats, bone marrow sampling may need to be repeated in order to see if the bone marrow is responding normally or not. Lymphoma is found to be responsible for around 90 percent of blood cancers and account for about 33 percent of all tumors in cats. Other factors suspected to increase rates of feline cancer include toxins from the environment, passive smoking, excessive grooming, or licking parts of the body that have been in contact with an environmental toxin. Osteosarcoma accounts for 70% of feline bone tumors. Diagnosis of bone cancer in cats there are many key diagnostic tests to positively detect if cancer is present.
Infection with feline immunodeficiency virus (fiv), related to human immunodeficiency virus or (hiv) also on occasions can lead to the development of cancer.
Toxic causes of anemia and {blank} infectious causes of anemia). These tumors are classified as either primary (i.e., arise directly in bone) or secondary (i.e., spread from an adjacent site, such as multiple myeloma of the bone marrow or metastasize from a distant site, such as transitional cell carcinoma of the urinary bladder). While the causes of cancer in cats are unknown, feline leukemia virus is suspected to be a prime contributor. Feline bone cancer causes cat bone cancer and osteosarcoma have no known cause of occurrence though, as with all cancers, a predisposition can usually be identified within the genetic codes of the animal. A clonal population of cells is a group of cells that have descended from a single cell; The common causes of bone marrow cancer in cats include: There may also be some soft issue involvement. This cancer can appear anywhere in the body or in several places at once. It brings on bone marrow failure after it causes normal marrow elements to be replaced with fibrous tissue. However, other major effects of felv infection are severe immunosuppression and development of anaemia, and more cats will die of these complications than from development of. In some cats, bone marrow sampling may need to be repeated in order to see if the bone marrow is responding normally or not. The age range for cats with osteosarcoma is wide with rare cases less than a year, although the average age of cats with the tumors (10.5 years) is older than that of dogs. During hospitalization, your veterinarian will monitor your cat's progress on a daily basis.
For this reason, cats that suffer from anemia caused by lead poisoning or feline leukemia are in a very dangerous situation. It occurs in cats and several other species. Diagnosis of bone cancer in cats there are many key diagnostic tests to positively detect if cancer is present. Feline bone cancer causes cat bone cancer and osteosarcoma have no known cause of occurrence though, as with all cancers, a predisposition can usually be identified within the genetic codes of the animal. It is a very aggressive tumor that causes lysis (disintegration of the bone), bone production, or both.
Feline Leukemia Virus Felv Leads To Secondary Diseases Veterinary Medicine At Illinois from vetmed.illinois.edu For this reason, cats that suffer from anemia caused by lead poisoning or feline leukemia are in a very dangerous situation. Diagnosis of bone cancer in cats there are many key diagnostic tests to positively detect if cancer is present. Infection with feline immunodeficiency virus (fiv), related to human immunodeficiency virus or (hiv) also on occasions can lead to the development of cancer. It is a tumor that often affects the long bones. Other factors suspected to increase rates of feline cancer include toxins from the environment, passive smoking, excessive grooming, or licking parts of the body that have been in contact with an environmental toxin. This cancer can appear anywhere in the body or in several places at once. The age range for cats with osteosarcoma is wide with rare cases less than a year, although the average age of cats with the tumors (10.5 years) is older than that of dogs. Bone marrow cancer is a broad category that includes many types and treatment options.
This is considered the most common cancer in cats and it's name derives from lymphocytes, a subtype of white blood cells present in blood, bone marrow, lymph nodes or lymphoid tissue.
Multiple myeloma in cats multiple myeloma is an uncommon cancer that is derived from a clonal population of cancerous (malignant) plasma cells in the bone marrow. For this reason, cats that suffer from anemia caused by lead poisoning or feline leukemia are in a very dangerous situation. Blood tests will be repeated to determine the current status of the problem. It occurs in cats and several other species. A clonal population of cells is a group of cells that have descended from a single cell; Malignant bone cancer is not common but one survey found an incidence of 4.9 cases per 100,000 cats. Feline bone cancer is one of the more common types of cancer in cats, and osteosarcoma is the most common kind of feline bone cancer. There may also be some soft issue involvement. Middle aged to older dogs and cats are most commonly affected. Toxic causes of anemia and {blank} infectious causes of anemia). This is less commonly seen in our veterinary patients, but a serious consideration in human cancer patients, dr. The common causes of bone marrow cancer in cats include: It is a very aggressive tumor that causes lysis (disintegration of the bone), bone production, or both.
This is considered the most common cancer in cats and it's name derives from lymphocytes, a subtype of white blood cells present in blood, bone marrow, lymph nodes or lymphoid tissue. Malignant bone cancer is not common but one survey found an incidence of 4.9 cases per 100,000 cats. This cancer can appear anywhere in the body or in several places at once. It is a very aggressive tumor that causes lysis (disintegration of the bone), bone production, or both. Multiple myeloma in cats multiple myeloma is an uncommon cancer that is derived from a clonal population of cancerous (malignant) plasma cells in the bone marrow.
Bone Marrow Cancer In Cats Symptoms Causes Diagnosis Treatment Recovery Management Cost from images.wagwalkingweb.com Other factors suspected to increase rates of feline cancer include toxins from the environment, passive smoking, excessive grooming, or licking parts of the body that have been in contact with an environmental toxin. Toxic causes of anemia and {blank} infectious causes of anemia). In some cats, bone marrow sampling may need to be repeated in order to see if the bone marrow is responding normally or not. Feline bone cancer causes cat bone cancer and osteosarcoma have no known cause of occurrence though, as with all cancers, a predisposition can usually be identified within the genetic codes of the animal. This is less commonly seen in our veterinary patients, but a serious consideration in human cancer patients, dr. These tumors are classified as either primary (i.e., arise directly in bone) or secondary (i.e., spread from an adjacent site, such as multiple myeloma of the bone marrow or metastasize from a distant site, such as transitional cell carcinoma of the urinary bladder). During hospitalization, your veterinarian will monitor your cat's progress on a daily basis. Symptoms of multiple myeloma in cats the major symptoms associated with multiple myeloma are caused by the spread of cancer cells, hyperviscosity syndrome (thick blood), and the underproduction of normal cells within the bone marrow (see explanations above).
If cancer is suspected, your doctor will also need to take bone marrow biopsies (samples) for a microscopic (cytologic) examination of the cells.
While the causes of cancer in cats are unknown, feline leukemia virus is suspected to be a prime contributor. It is a very aggressive tumor that causes lysis (disintegration of the bone), bone production, or both. Feline bone cancer is one of the more common types of cancer in cats, and osteosarcoma is the most common kind of feline bone cancer. A clonal population of cells is a group of cells that have descended from a single cell; Lymphoma is found to be responsible for around 90 percent of blood cancers and account for about 33 percent of all tumors in cats. It is a tumor that often affects the long bones. It occurs in cats and several other species. Bone tumors can involve either the appendicular (limbs) or axial (spine, ribs, pelvis, scapula, and skull) skeleton. Osteosarcoma accounts for 70% of feline bone tumors. In some cats, bone marrow sampling may need to be repeated in order to see if the bone marrow is responding normally or not. Middle aged to older dogs and cats are most commonly affected. For this reason, cats that suffer from anemia caused by lead poisoning or feline leukemia are in a very dangerous situation. During hospitalization, your veterinarian will monitor your cat's progress on a daily basis.
Universitas negeri semarang bakal menyelenggarakan kuliah dosen tamu (vitising lecturers) sebagai upaya menumbuhkan literasi kritis siswa melalui pembelajaran bahasa inggris online. 58 faculty of economics and communication. Selain itu, kampusnya juga sejuk banyak pepohonan, ruang kelas yang nyaman, dan pejabat nya ramah2, bahkan ada kantin, rest area. Kuliah di uika bogor sangat berkesan. 62 cara pendaftaran anggota perpustakaan nasional republik indonesia (perpusnas). Panduan untuk yang Mau Kuliah di Jurusan Manajemen from www.anakui.com Kegiatan ini kolaborasi antara unnes, kesetart university thailand, smpn 16 semarang dan labschool kesetart university thailand. 58 faculty of economics and communication. Berdasarkan penelitian di harvard university amerika serikat ( ali ibrahim akbar, 2000) mengungkapkan bahwa kemampuan teknis (hard sk...
Are There Any Grants For Cancer Patients : Are there any health benefits for patients with cancer ... : Two patients were put to bed and given some medicine. . Sometimes understanding your cancer patient's medical situation can make you feel more confident and in control. Screeningexternal icon means checking your body for cancer before you have symptoms. Coc accreditation is granted only to the facilities that have voluntarily committed to provide the best unfortunately, there remains substantial evidence that many people with cancer do not receive the. You may be glad for a chance to do something positive and give to another person. Cancer is a devastating disease, and everyone however, there are many organizations with programs that assist cancer patients in coping with the the samfund. There are two kinds of fracture: According to the patient, his mother was operated on in age 60 about colon cancer. Benzene and other chemical exposures. Luckily, there are org...
How To Make A Cancer Zodiac Fall In Love With You : How To Make Someone Fall In Love With You, Based On Their ... / You might be tempted to make your cancer man jealous by flirting with other guys, but doing so will inevitably work against you. . From the set of all animals. Cancers tend to be overly sensitive and need lots of reassurance. The cancer males are regarded as the best match with regard to love and marriage. The female crab is a shy and reserved creature, easily scared off by predatory. There is nothing anyone can say to disarm us when we fall in love with you. That's why i open cancer man in love website and work as a writer here. He will demonstrate his respect and regard for cancers are charming to the core, so it's easy to see how your man won you over. Do something nice for him don't play the jealousy game. He wants to make his woman feel like a princess. They're protective and simultaneously they're… should you prefer a cance...
Comments
Post a Comment